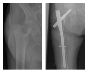
Manis Proximal Femoral Nail System
MANIS Proximal Femoral Nail System is an anti-rotation nail system for the treatment of proximal femoral fracture. The system consists of 4 nails: extra short, short, standard, and long. Instrumentation and completed portfolio provide a good solution for clinical needs.

BoTEC Medical focuses on extremity and spine solutions which have been clinically proven. Its trauma offerings include implants for lower extremity, upper extremity and pelvic applications. BoTEC spine offerings include products for cervical, thoracic and lumbar stabilizations.

The design is perfectly adapted to the anatomy of proximal femur streamline.


MANIS Proximal Femoral Nail
Pertrochanteric fractures (31-A1 and 31-A2)
Intertrochanteric fractures (31-A3)
High subtrochanteric fractures (32-A1)

MANIS Proximal Femoral Nail Long
Low and extended subtrochanteric fractures
Ipsilateral trochanteric fractures
Combination fractures (in the proximal femur)
Pathological fractures

